近日,广州妇儿中心胸外科李乐主任团队成功为一名9岁女童实施达芬奇机器人气管袖式切除术,开启儿童复杂气管肿瘤治疗的新篇章。据悉,这是国内儿童医院首例借助达芬奇机器人完成的气管肿瘤手术。
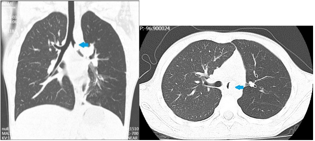
今年9岁的小琪本应在校园里追逐嬉戏,但近一个月却持续地咳嗽咳痰,严重影响了她的学习生活。家人带小琪前往医院就诊,完善胸部增强CT后才发现罪魁祸首——左主支气管有一个1.5X1.1X1.0cm的肿物。经多方打探,孩子父母得知广州妇儿中心胸外科李乐主任团队对儿童气管手术有丰富的诊疗经验,于是前往我院胸外科进一步治疗。

术前CT检查,箭头处为肿物

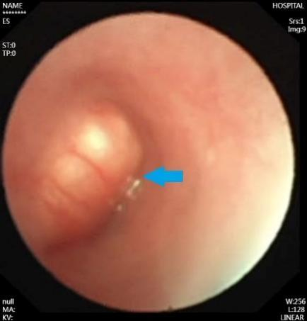
术前纤支镜检查,箭头处为肿物
入院后,李乐主任团队为小琪完善了胸部CT和纤支镜检查,发现肿瘤位于气管隆突附近,几乎将左主支气管完全堵住,如果肿瘤再侵犯气管隆突或者右主支气管,就会有窒息的危险。针对小琪的病情,胸外科迅速组织麻醉科、呼吸科、PICU、影像科等多学科会诊和讨论,决定尽快手术治疗,切除气管肿瘤并重建气管。
左主支气管毗邻主动脉、左肺动脉、食管等重要结构,加之儿童的手术空间更为狭小,气管手术是儿童胸外科难度系数最高,操作最复杂的手术之一。传统的气管肿瘤手术,通常是通过胸部大切口进行开放手术,但是存在创伤大、恢复慢的缺点。
相比之下达芬奇机器人手术系统能提供15-30倍放大的三维视野,并配备有7个维度的震颤过滤机械臂,能够达到气管手术精细解剖、精准切除、可靠缝合的要求,创伤更小,使患儿恢复更快。经过充分评估之后,李乐主任决定采用国际先进的达芬奇机器人手术系统,为小琪实施左主支气管袖式切除术,同时制定了严密的术前准备计划,详细的手术方案以及完备的术后监护措施。

李乐主任正在操作达芬奇机器人

麻醉科和手术团队正在手术准备
手术当天,在裸眼3D的视觉加成下,李乐主任操作达芬奇机器人系统进行手术,完成气管隆突、左主支气管的裸化解剖,精准切除气管肿瘤,并高质量完成隆突-左主支气管远端的吻合,为小琪的顺利康复打下了坚实的基础。
左主支气管袖式切除术示意图

术中探查小琪的左肺已完全复张,术后纤支镜也提示左主支气管通畅,小琪于术后第7天顺利出院。

术后纤支镜复查
“儿童气管手术的空间尤为狭小,使用普通腔镜器械进行气管吻合时经常角度受限,而达芬奇机器人的操作臂可自由旋转,缝合起来更加精准,进而减少患儿的并发症。”李乐主任如是说。
据悉,目前在全国开展儿童腔镜气管外科手术的医疗单位并不多,能顺利开展儿童机器人气管肿瘤切除的单位更是凤毛麟角。李乐主任团队总结既往胸腔镜气管肿瘤手术的经验,充分利用达芬奇机器人手术系统的精细解剖优势,成功实施达芬奇机器人左主支气管袖式切除术,标志着广妇儿胸外科团队在儿童气管疾病的微创治疗方面达到了国内领先水平,未来将会有更多的患儿因此受益。
专科介绍
小儿胸外科成立于2008年,经过十余年的发展,目前已成为集临床、教学、科研于一体,在华南地区乃至全国享有较高知名度的儿童胸外科。现拥有主任医师1名,副主任医师4名,主治医师2人,博士研究生7人,硕士研究生3人。目前是广州市高水平临床重点专科、广州市临床特色技术项目科室、广州医科大学儿外科学硕士招生学科,承担多项省、市实验基金研究项目。近3年来在国内外相关杂志发表专业论文十余篇。
胸外科主要的业务范围,包括肺部病变的手术治疗(肺气道畸形、肺肿瘤、肺脓肿等)、纵隔肿瘤的规范化治疗、胸廓畸形的矫治(漏斗胸、鸡胸、Poland综合征等),其余还包括胸膜腔病变的手术治疗(脓胸、乳糜胸等)、膈肌病变的手术治疗(膈疝、膈膨升、食管裂孔疝等)、食管病变的手术治疗(化学烧伤性食管狭窄、贲门失弛缓征、食管肿瘤等),气管病变的手术治疗(气管软化与狭窄、支气管内肿物)等。
儿童胸廓畸形是儿童较为常见疾病,包括漏斗胸、鸡胸、Poland综合征等。胸外科于国内较早开展胸廓畸形手术等,具有丰富的经验。对于漏斗胸,胸外科采用全胸腔镜超微创NUSS手术及“三明治”、交叉板等术式,取得了良好的治疗效果,尤其是广泛漏斗胸、不对称漏斗胸、扁平胸、漏斗胸合并鸡胸等复杂胸壁畸形。对于鸡胸、局部胸壁畸形等,采用微创胸骨沉降法及肋骨悬吊法,亦获得满意外观,科室于胸廓畸形领域发表相关SCI文章多篇。
先天性肺气道畸形(CPAM)是儿童较为常见的先天性肺发育畸形。胸外科在国内率先开展了基于3D重建基础上的肺气道畸形解剖性肺段切除,进一步利用荧光腔镜技术对目标肺段荧光染色,达到精准解剖性肺段切除的目的。2019年9月《基于3D重建技术的儿童胸腔镜解剖性肺段切除》项目被广州市卫生健康委员会评为《广州市临床特色技术项目》。另一方面,深入对先天性肺囊性病变发病机制的研究,获广州市科技局课题1项。
儿童纵隔肿瘤的诊断和治疗是胸外科另一项优势项目。胸外科对儿童纵膈肿瘤的诊断、评估和治疗构建了完整的体系,包括肿瘤的影像学及实验室检查、病理学诊断、危险度评估、开放及微创手术治疗、肿瘤基因诊断及化疗等全方位诊断和治疗,年均纵隔肿瘤手术百台以上。同时针对肿瘤的发病机制开展了深入的研究,发表相关SCI文章多篇,获市科技局课题2项。
气管疾病的诊断和治疗是胸外科的另一大亮点,儿童气管疾病包括气管狭窄、气管软化和气管肿瘤,是儿童胸外科疾病的难点之一。广州妇儿中心胸外科、心脏外科和耳鼻喉科多科合作,已经形成了治疗儿童气管疾病的完整体系,包括儿童slide气管成形术、儿童气管袖式切除术、微创主动脉弓悬吊术等难度较大儿童气管手术,取得了良好的治疗效果。
专家介绍
李乐

小儿外科学博士 主任医师
博士研究生导师
广州妇儿中心胸外科主任
外科部副主任
长期专注于儿童微创外科手术研究。在国内率先开展了术前3D重建及精准手术规划、术中荧光染色及解剖性肺段切除的微创手术模式治疗儿童肺囊性病(该项目2019年被广州市卫健委评为广州市特色临床技术项目);采用主动脉悬吊、外支架及气管成型等一系列个性化手术方案治疗儿童气管软化、气管狭窄和气管肿瘤;创新和改进了复杂漏斗胸、Poland综合征、胸壁肿瘤等儿童疑难胸壁疾病的矫正及手术治疗。创新和改进了颈胸交界部肿瘤等儿童复杂纵隔肿瘤的微创化手术方案。近年以第一作者/通讯作者发表SCI论文20多篇,主持省市级科研课题3项。
学术任职
中华医学会小儿外科分会肿瘤专业学组 委员
广东省胸部疾病协会儿童胸部疾病专委会 主任委员
广东省医学会小儿外科分会心胸学组 副组长
广东省妇幼保健协会妇幼外科分会 副主任委员
广东省医学会肿瘤学分会 常务委员
广东省医学会胸外科学分会 常务委员
广东省医师协会小儿外科分会 常务委员
广州市医师协会普外微创专业分会 常务委员
广州市医学会胸心外科分会 常务委员
(来源:资讯中国)






